Zubná ambulancia Prešov Ľubotice - MDDr. Rudolf Fečo - FERSS Dental Care

Zubná ambulancia Prešov Ľubotice

FERSS
Dental Care

MDDr. Rudolf Fečo

Spájame skúsenosti generácií s inováciami modernej medicíny. U nás nie ste len pacientom — ste vzácnym hosťom.

Ordinačné hodiny Pondelok – Piatok: 7:30 – 14:00
Ambulancia Lubotice Presov Rudolf Fečo
PRIJÍMAME NOVÝCH PACIENTOV
2000+ pacientov
Skúsenosti, ktorým môžete veriť
Rodinný prístup
Ľudskosť je u nás na prvom mieste
Moderná technika
Špičkové vybavenie pre váš komfort

Ošetrenia a cenník

Transparentné ceny a špičková technológia pre váš zdravý úsmev.

01

Diagnostika a RTG

Precízne vstupné vyšetrenie s digitálnym OPG RTG s najvyšším rozlíšením na trhu. Odhalíme aj skryté kazy a nastavíme vám individuálny plán liečby.

O zákroku

Základom zdravého chrupu je prevencia. Vďaka špičkovému digitálnemu OPG RTG vidíme aj to, čo je voľným okom neviditeľné – skryté medzizubné kazy či začínajúce zápaly pod výplňami. Rýchla a presná diagnostika nám šetrí čas a vám vaše zuby.

Cenník výkonov

Vstupné vyšetrenie
Akcia zadarmo 0 €
OPG RTG snímka 15 €
Intraorálne RTG 12 €
02

Dentálna hygiena

Špičkové čistenie technológiou EMS (ultrazvuk a pieskovanie) v rukách skúsenej hygieničky. Chránime vaše ďasná pred zápalom a zuby pred kazom.

O zákroku

Význam: Má predovšetkým zdravotný rozmer. Odstránenie povlaku a kameňa (rezervoár baktérií) bráni zápalu ďasien a vzniku parodontálnych vačkov, ktoré vedú ku kývavosti zubov a ich strate.

Naša technika: Hygienu vykonáva profesionálka s adekvátnym vzdelaním. Dve ambulancie sú vybavené špičkovým ultrazvukom a pieskovačom EMS.

Prevencia: Chránime vaše ďasná pred krvácaním, ustupovaním a odhaľovaním citlivých krčkov či kývavosťou. Vítaní sú u nás aj pacienti, ktorí nie sú u nás registrovaní.

Cenník výkonov

Dentálna hygiena (komplet)
Akcia 45 €
Inštruktáž a motivácia v cene hygieny
Bielenie zubov (ambulantné)
Akcia 180 €
07

Laserová stomatológia

Laser od značky Sirona má široké spektrum využitia. Odstraňovanie ďasien, uzdičiek, hojenie rán, áft, herpesov a iné.

O zákroku

Využitie: Laser značky Sirona využívame takmer denne v širokom spektre zákrokov.

Zákroky: Riešenie hlbokých medzizubných kazov s vrasteným ďasnom, odstraňovanie uzdičiek (frenulektómia), estetická úprava okrajov ďasien, zastavenie krvácania, dezinfekcia rán, liečba áft a herpesov a iné.

Cenník výkonov

Chirurgický zákrok laserom 30 – 70 €
Frenulektómia laserom 35 €
03

Estetika a plombovanie

Krásny úsmev na počkanie vďaka moderným kompozitným materiálom. Od neviditeľných plomb až po estetické fazety, ktoré zmenia tvar a farbu vašich zubov.

O zákroku

Popis: Plombovanie je najčastejší úkon, spájame v ňom mechanickú odolnosť s estetikou.

Naša technika: Realizujeme široké spektrum sanácií – od bežných plomb cez rozsiahlé overlay plomby, komplikované dostavby na čapoch a sklených vláknach, či mostíky na sklennom vlákne.

Estetické fazety: Ponúkame rekonštrukciu predných zubov pomocou vrstvenia kompozitov (fazety), ktoré zmenia farbu a tvar zuba s minimálnou stratou vlastných tkanív – krásny úsmev na počkanie.

Cenník výkonov

Anestézia / plombovanie 15 €
Plomba kompozitná predné zuby 30 – 60 €
Plomba kompozitná zadné zuby 35 – 65 €
Rekonštrukcia zuba 95 – 130 €
Fazeta kompozitná 100 – 130 €
Pečatenie zuba 35 €
04

Parodontológia

Odborná liečba kývavosti zubov a zápalov ďasien podľa najnovších smerníc certifikovaným lekárom a hygieničkou.

O zákroku

Zameranie: Liečba zápalových procesov tkanív zubného lôžka a "parodontózy".

Odbornosť: Tím lekára a hygieničky spolupracuje na mechanickej a chemickej liečbe podľa najnovších medzinárodných smerníc (guidelines).

Certifikácia: Naše pracovisko je certifikované pre prax študentov. Lekár je držiteľom certifikátov efektívneho manažmentu parodontológie.

Cenník výkonov

Anestézia / plombovanie 15 €
Plomba kompozitná predné zuby 30 – 60 €
Plomba kompozitná zadné zuby 35 – 65 €
Rekonštrukcia zuba 95 – 130 €
Fazeta kompozitná 100 – 130 €
Pečatenie zuba 35 €
05

Endodoncia (Koreňové kanáliky)

Zachraňujeme zuby, ktoré by iní vytrhli. Používame špičkovú technológiu Morita s 99% úspešnosťou ošetrenia.

O zákroku

Popis: Zápal či odumretie pulpy (nervu) vzniká prienikom baktérií z kazu, úrazom alebo chronickým dráždením.

Naša technika: Používame špičkový endo motor značky Morita so vstavaným apexlokátorom (presné meranie dĺžky kanálika). Vďaka strojovému opracovaniu superohybnými vrtákmi a ultrazvukovej aktivácii dezinfekčného roztoku dosahujeme vyše 99% úspešnosť ošetrenia. Pre komplikované prípady používame lupové okuliare pre dokonalý prehľad v hĺbke zuba.

Cenník výkonov

Endodoncia 1-kanálikový zub 60 €
Endodoncia viackanálové zuby 70 – 140 €

* Presná cena závisí od počtu kanálikov a náročnosti ošetrenia.

06

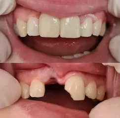
Protetika (Korunky a mostíky)

Obnova funkcie a vzhľadu chrupu pomocou koruniek či mostíkov. Ponúkame fixné aj snímateľné riešenia, ktoré verne napodobňujú prirodzené zuby.

O zákroku

Fixná protetika: Ponúkame kovokeramické aj vysoko estetické zirkónové korunky a mostíky. Tieto náhrady sú pevne fixované, pôsobia prirodzene a nevyžadujú vyberanie z úst.

Snímateľná protetika: Štandardné parciálne alebo celkové náhrady z moderných materiálov, ktoré verne napodobňujú chrup aj ďasná. Ich výhodou je ľahká manipulácia a možnosť dôkladnej hygieny mimo úst.

Individuálny prístup: Spôsob riešenia (obnova funkcie a vzhľadu) navrhujeme individuálne pri vyšetrení.

Cenník výkonov

Zirkónová korunka 300 €
Kovokeramická korunka 250 €
Provizórna korunka 20 €
Snímateľná náhrada (čiastočná) 375 €

Rodinná tradícia

Náš príbeh

MDDr. Rudolf Fečo - zubný lekár FERSS Dental Care Prešov

MDDr. Rudolf Fečo

Váš lekár a Odborný garant

Rodinná tradícia a profesionálny prístup

V našej ambulancii staviam na spojení moderných technológií a rodinného prístupu. Mojím cieľom je poskytovať odbornú stomatologickú starostlivosť, kde je prioritou nielen precízny výsledok, ale aj váš komfort a pocit dôvery počas každého ošetrenia.

MUDr. Eva Fečová - zakladateľka FERSS Dental Care

MUDr. Eva Fečová

Zakladateľka

Ako sme začínali

Základy našej ambulancie položila MUDr. Eva Fečová, ktorá ako jedna z prvých v Prešove otvorila súkromnú stomatologickú prax. Jej dlhoročné skúsenosti a iniciatíva umožnili vybudovanie moderných priestorov, v ktorých nás nájdete dnes. Sme radi, že na tento rodinný odkaz môžeme nadviazať a ďalej ho rozvíjať.

Odborný tím a starostlivosť

  • Dentálna hygiena: Skúsená hygienička s prístrojom EMS.
  • Odborné zázemie: Zdravotná sestra pre plynulý chod ambulancie.

Pozrite sa do našej ambulancie

Fotogaléria

Spoznajte nás zblízka. Naše priestory, technológie a výsledky, na ktoré sme hrdí.

Priestory zubnej ambulancie FERSS Dental Care
Priestory
13 fotografií
Naša práca - mostík na sklennom vlákne
Naša práca
5 fotografií
Vybavenie zubnej ambulancie FERSS Dental Care
Vybavenie
10 fotografií
Priestory

Referencie

Čo o nás hovoria

"Profesionálny prístup, komunikácia na úrovni, dôsledné vysvetlenie každého kroku a kvalitná práca. Pán doktor Fečo je top!"

Lukáš

Google recenzia

"Lepšieho pána doktora som ešte nestretla. Všetko mi vysvetlil, ukázal, porozprával sa, navrhol riešenia. Úžasný prístup, odborný, ale hlavne ľudský."

Denisa

Google recenzia

"Úžasná zubárka s ľudským prístupom k deťom aj dospelým. Chválim celý personál, ale pani zubárka je Top."

Marta

Google recenzia

Kde nás nájdete

Kontakt

Strážnická 26A, Ľubotice 080 06

Otvoriť v Google Mapách

Otváracie hodiny

Pondelok – Piatok7:30 – 14:00
SobotaZatvorené
NedeľaZatvorené

* Otváracíčas sa môže líšiť počas sviatkov.

E-mail

fecorudolf [zavináč] gmail [bodka] com
Exteriér zubnej ambulancie Ferss Dental Care v Ľuboticiach
Bezplatné parkovanie priamo pri vchode
Zavolať